Advertisement

How To Pull A Broken Tooth Out Adults At Home : Tie one end to the tooth you want to extract.

How To Pull A Broken Tooth Out Adults At Home : Tie one end to the tooth you want to extract.. The looser your tooth is when you try to pull it out, the less pain you will feel. Bite down on dental floss. Grasp the tooth by using a small square of gauze. Even so, broken teeth are one of the most common dental emergencies.breaks can range in severity from small chips to complete fractures. In fact, it's important you don't pull the baby tooth out too early.

Tie one end to the tooth you want to extract. This is a forum for anyone who is affected by a fear of the dentist, dental phobia, or specific dental fears. We are lucky to count a number of dentists among our members and moderators. Place a clean gauze or cotton roll over the gums where the tooth came out. There are many methods to pull a tooth and these are:

Coronavirus Man Refused Appointment Pulls Out Tooth At Home Bbc News
Coronavirus Man Refused Appointment Pulls Out Tooth At Home Bbc News from c.files.bbci.co.uk
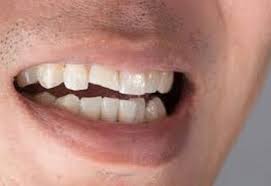
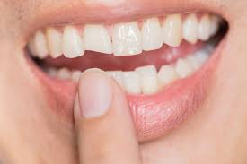
If it is broken then your oral health is already at risk and you should visit a dentist. Cracked or broken teeth are serious injuries that can't be treated at home. Simple extraction in which the area is numbed with an injection and the tooth is extracted 2. Furthermore, you will have a gap in your mouth that must be addressed by a dentist. At the age of 20, most of us have wisdom teeth. How to pull a broken tooth at home the simplest answer to this is don't. In fact, it's important you don't pull the baby tooth out too early. You can use your tongue and fingers to loosen your tooth with a gentle wiggling motion.

Wiggle your tooth around this is perhaps the most common way to remove a loose tooth, and that's because it's the easiest method you'll find on this list.

Occasionally, a suture may be required if bleeding is heavy. Bite down on dental floss. Just make sure that you do not pull or push your tooth too hard as you wiggle it or it may hurt. You should never tried to pull your tooth out by yourself. And not only can a broken. Another way to getting a tooth to come out naturally is by offering your child foods that will put stress on the loose tooth. Using the extraction forceps grip the targeted tooth as low as possible, taking care not to crush or break off any pieces if possible. How to pull a broken tooth? This is a forum for anyone who is affected by a fear of the dentist, dental phobia, or specific dental fears. Then, pull on the floss quickly to remove the tooth with one stroke. There is one thing is for certain: Cracked or broken teeth are serious injuries that can't be treated at home. Whether it's caused by tooth decay or an accident, it's best to see your dentist as soon as possible if you have a broken tooth.

Most often causes of fracture of teeth are fall, road side accident, assault and a rc treated tooth is liable to fracture if not crowned while chewing. Wiggling a tooth requires nothing more than your hand and fingers, and it's a great way to help loosen up your tooth even more. Cut a piece a string that's about a foot and a half long. Types of broken or cracked teeth. In fact, it's important you don't pull the baby tooth out too early.

How To Pull A Broken Tooth At Home Arxiusarquitectura
How To Pull A Broken Tooth At Home Arxiusarquitectura from i.pinimg.com
You should never tried to pull your tooth out by yourself. If the tooth is ready, the floss will. Wiggling a tooth requires nothing more than your hand and fingers, and it's a great way to help loosen up your tooth even more. Baby teeth will loosen and fall out on their own, but for children who are eager for a visit from the tooth fairy, pulling a tooth at home may be appropriate in certain circumstances. They are overly protected by different layers of the teeth. If the tooth is really loose and the apple method does not work, make a knot around the tooth using a 30 centimeter (11.8 in) long piece of dental floss. You can use your tongue and fingers to loosen your tooth with a gentle wiggling motion. There is one thing is for certain:

Most often causes of fracture of teeth are fall, road side accident, assault and a rc treated tooth is liable to fracture if not crowned while chewing.

Look out for the verified dentist badges. Even so, broken teeth are one of the most common dental emergencies.breaks can range in severity from small chips to complete fractures. If you are experiencing severe pain and are considering how to pull a tooth at home, go to a dentist or the emergency room to receive an assessment and antibiotics if there are signs of infection. Then, pull on the floss quickly to remove the tooth with one stroke. If the tooth has just cracked or broken and is causing you pain, you may be able to get an emergency appointment. When figuring out how to pull out a tooth, you will want a painless and natural means to do so. Baby teeth usually fall out without any help. There is one thing is for certain: This dental problem is very common, it usually occur when the tooth structure is damaged. Afterwards, place a folded gauze on the bleeding socket and have the patient bite down. Wiggle your tooth around this is perhaps the most common way to remove a loose tooth, and that's because it's the easiest method you'll find on this list. It can be sign of serious dental health issues that you need to get checked out immediately with a dental professional. Use your elevator to further loosen the root and help push it outward.

Look out for the verified dentist badges. I don't mean to be flippant with the response. Use floss to pull out the tooth. Please see a dental professional at art of dentistry to get help. Naturally, the tooth nerves are found right at the core of the tooth.

Tooth Extraction Cost Procedure Risks And Recovery
Tooth Extraction Cost Procedure Risks And Recovery from post.healthline.com
Place a clean gauze or cotton roll over the gums where the tooth came out. In fact, it's important you don't pull the baby tooth out too early. If it is broken then your oral health is already at risk and you should visit a dentist. We are lucky to count a number of dentists among our members and moderators. I don't mean to be flippant with the response. This dental problem is very common, it usually occur when the tooth structure is damaged. One thing you need to be careful of when using this method is to be aware of the possibility of swallowing the tooth. Pulling out such a tooth on your own can easily cause permanent damage or leave broken parts behind.

At the age of 20, most of us have wisdom teeth.

If you are experiencing severe pain and are considering how to pull a tooth at home, go to a dentist or the emergency room to receive an assessment and antibiotics if there are signs of infection. Grasp the tooth firmly through the gauze. Furthermore, you will have a gap in your mouth that must be addressed by a dentist. This dental problem is very common, it usually occur when the tooth structure is damaged. When figuring out how to pull out a tooth, you will want a painless and natural means to do so. Tooth extraction as the name implies, is simply the removal of the tooth from its socket in the bone. Wiggle your tooth around this is perhaps the most common way to remove a loose tooth, and that's because it's the easiest method you'll find on this list. If the tooth is really loose and the apple method does not work, make a knot around the tooth using a 30 centimeter (11.8 in) long piece of dental floss. You can use your tongue and fingers to loosen your tooth with a gentle wiggling motion. Please see a dental professional at art of dentistry to get help. They can also use a toothbrush and floss to help remove a loose tooth without pain. However, there are special cases where the need or circumstances warrant that you pull out the tooth at home. How to pull a broken tooth at home.

Posting Komentar

0 Komentar